High-End-Computertomografie in der Klinik für Diagnostische und Interventionelle Radiologie am UKS
In der Klinik für Diagnostische und Interventionelle Radiologie am Universitätsklinikum des Saarlandes (UKS) setzen wir auf modernste Technologien. Ein Beispiel dafür ist unsere High-End-Computertomografie, die Sie nachfolgend genauer kennenlernen können.

Siemens Somatom Force
Kardio-CT in der Radiologie am UKS
Die grundlegende Voraussetzung für die optimale Darstellung der Herzkranzgefäße mittels CT ist ein moderner Multislice-Scanner.
An der Klinik für Diagnostische und Interventionelle Radiologie am UKS verfügen wir mit dem Siemens FORCE über eine der modernsten Gerätetechniken. Diese ermöglicht sowohl eine extrem schnelle als auch eine besonders strahlungsarme Bildgebung.
Wie funktioniert ein Multislice-Scanner?
Durch die Kombination und gleichzeitige Nutzung von zwei Röntgenröhren in einem Gerät (Dual-Source-Technik) ist es möglich, die Bildaufnahme so weit zu beschleunigen, dass das gesamte Herz mitsamt Herzkranzgefäßen zwischen zwei Herzschlägen aufgenommen wird. Die Schnelligkeit der Aufnahme erlaubt es zudem, auch bei eventuell bestehenden Herzrhythmusstörungen eine hohe Bildqualität zu erzielen.
Die Verwendung empfindlichster Detektoren und modernster Technik sorgt gleichzeitig für eine deutliche Reduktion der Strahlenbelastung. Hierdurch erreichen wir Aufnahmen der Koronararterien mit einer Dosis von unter 1 mSv, was in etwa der Strahlenbelastung einer Mammografie oder von Röntgenaufnahmen des Beckens oder der Lendenwirbelsäule entspricht.
Strahlenarme Computertomografie in der Radiologie am UKS
Niedrigdosis-CT
Wir verfügen in der Klinik für Diagnostische und Interventionelle Radiologie am UKS über zwei hochmoderne Computertomografen. Diese haben gegenüber herkömmlichen Systemen wesentliche Vorteile:
- strahlenarme Bildgebung mit minimaler Strahlenbelastung
- ultraschnelle Bildgebung ohne jedwede Narkose
- Gefäßdarstellungen mit minimaler Kontrastmittelmenge
- Darstellung der Lungendurchblutung mittels Jodkarte (spezielle Bildgebung mit jodhaltigem Kontrastmittel)
Insbesondere können so bei manchen Kindern Untersuchungen, die früher einer Allgemeinnarkose oder Sedierung bedürft hätten, ohne eine Anästhesie durchgeführt werden. Auch eignet sich die Technik speziell für nierenkranke Patientinnen und Patienten, da die geringe Kontrastmittelgabe die Nieren nicht schädigt.
Strahlenarme Bildgebung mit minimaler Strahlenbelastung

Ultraschnelle Bildgebung ohne Narkose


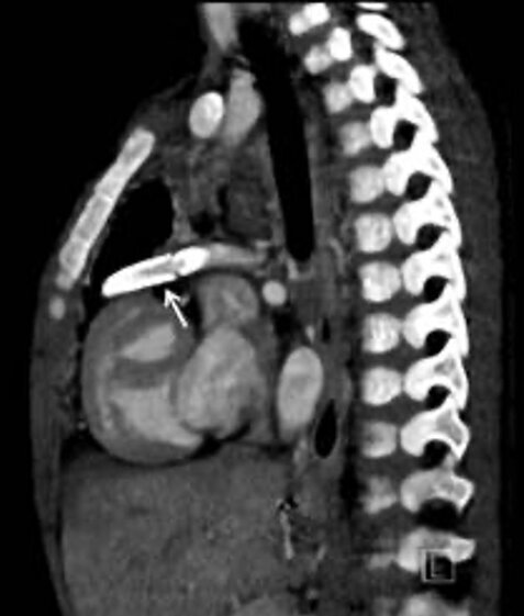
Sagittale Rekonstruktion mit operativ angelegtem Bypass (Pfeile) zwischen dem rechten Ventrikel und der Pulmonalarterie. Strahlenbelastung von 0,9 mSv.
CT-gesteuerte Punktionen in der Radiologie am UKS
Mittels CT-gesteuerter Punktionen sind wir in der Klinik für Diagnostische und Interventionelle Radiologie am UKS in der Lage, Gewebeproben zur Untersuchung von Tumoren zu gewinnen. Die Punktion erfolgt dabei mittels einer sehr feinen Nadel, sodass selbst kleinste Proben aus Organen oder anderen Bereichen ohne Operation entnommen werden können.
Perfusions-CT in der Radiologie am UKS
Mithilfe ultraschneller Bildgebung eines High-End-Computertomografen kann an der Klinik für Diagnostische und Interventionelle Radiologie gezielt die Durchblutung von Organen dargestellt werden.
Diese moderne Bildgebungstechnologie bietet gegenüber älteren Verfahren deutliche Vorteile. Insbesondere in der Onkologie ermöglicht die Perfusions-CT eine frühzeitige Bewertung des Therapieerfolgs bei Tumorerkrankungen, indem sie Veränderungen in der Blutversorgung der Tumore und des umgebenden Gewebes sichtbar macht. Dies kann entscheidend sein, um das Ansprechen auf eine Chemotherapie zu beurteilen.
Zusätzlich steigert die Perfusionsbildgebung die Sensitivität bei der Erkennung von Schäden oder Veränderungen in Organen. Durch die detaillierte Darstellung der Blutflussmuster in den Organen können wir besser zwischen gesundem Gewebe und Läsionen unterscheiden. Diese Präzision ist besonders wichtig, um eine genaue Diagnose zu stellen und die bestmögliche Behandlung für die Patientin oder den Patienten zu planen.

Vier koronare Rekonstruktionen aus 3D-Datensätzen, die jeweils zu unterschiedlichen Perfusionszeiten nach intravenöser Kontrastmittelgabe aufgenommen wurden. Nach 20 Sekunden ist die Läsion in der Leber (schwarzer Pfeil) am besten zu erkennen.
Kontakt & Ansprechpartner
Klinik für Diagnostische und Interventionelle Radiologie
Klinikdirektor
Univ.-Prof. Dr. med. Arno Bücker, M.Sc.
Oberarzt
Prof. Dr. med. Peter Fries
Sekretariat
+49 6841 16-24600
+49 6841 16 - 16 24601
radiologie-sekretariat☞ Bitte fügen Sie an dieser Stelle ein @ ein ☜uks☞ Bitte fügen Sie an dieser Stelle einen Punkt ein ☜eu
In dringlichen medizinischen Notfällen können Sie die Klinik für Diagnostische und Interventionelle Radiologie zu jeder Tages- und Nachtzeit über die Notfalltelefonnummer des UKS kontaktieren:
+49 6841 16-30000

